Columbia Same-Day Crowns
Restore your smile in just one visit
Beautiful, long-lasting crowns without the wait
A damaged or weakened tooth doesn’t just affect how your smile looks. It can impact your ability to chew, speak, and feel confident. But at Columbia Dental Group, restoring your smile doesn’t have to mean multiple appointments or temporary fixes.
With our advanced CEREC technology, we design, create, and place your custom crown in a single visit, right here in our office. That means no temporary crowns, no messy impressions, and no second trip. Just strong, natural-looking Columbia same-day crown treatment that fits seamlessly into your life.
How our same-day crown process works
- Tooth preparation: We gently shape and clean the affected tooth, ensuring it’s ready to support your new crown.
- Digital scan: Our iTero scanner captures a detailed 3D image, no goopy molds required.
- In-office crown design: Using CEREC, we design and mill your custom porcelain crown in about an hour.
- Final placement: Your crown is bonded in place, adjusted for comfort, and polished, so you can leave with a fully restored smile.
Why choose Columbia Dental Group for same-day crowns?
One-visit convenience
Skip the second appointment and the temporary crown. Your restoration is complete the same day, with no compromises.
High-quality, natural appearance
Our CEREC crowns are made from durable, tooth-colored materials that blend beautifully with your natural teeth.
Precision with advanced tech
Digital scanning and on-site crown milling allow for a flawless fit, minimal sensitivity, and lasting strength.
Personalized experience
You’ll never feel rushed. Our team takes time to ensure your comfort, explain each step, and deliver care that reflects your goals.
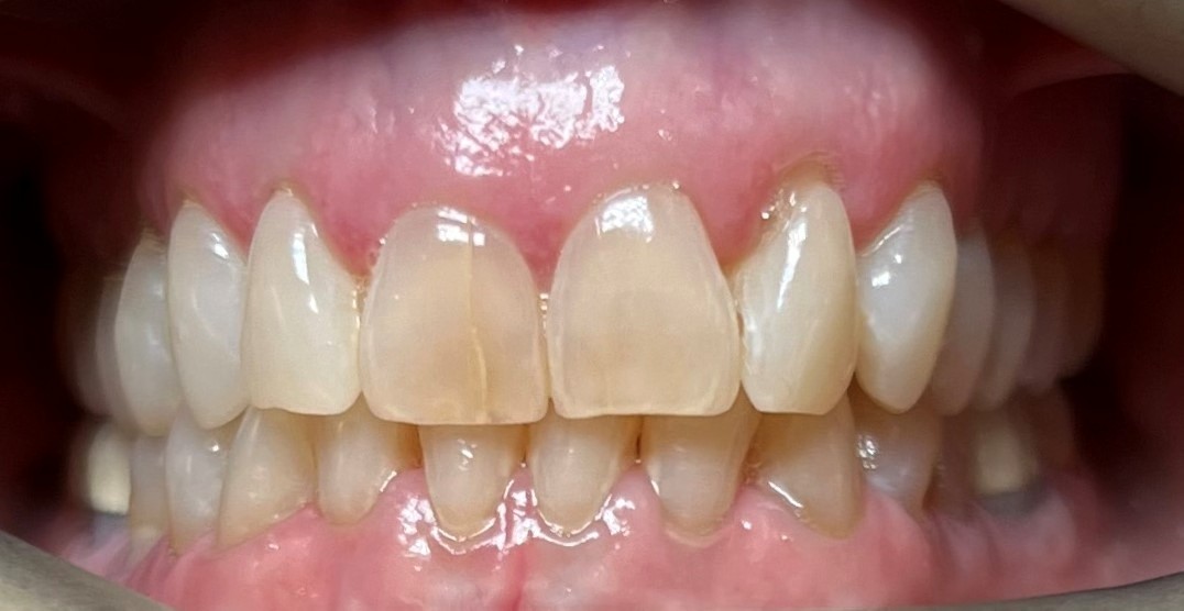
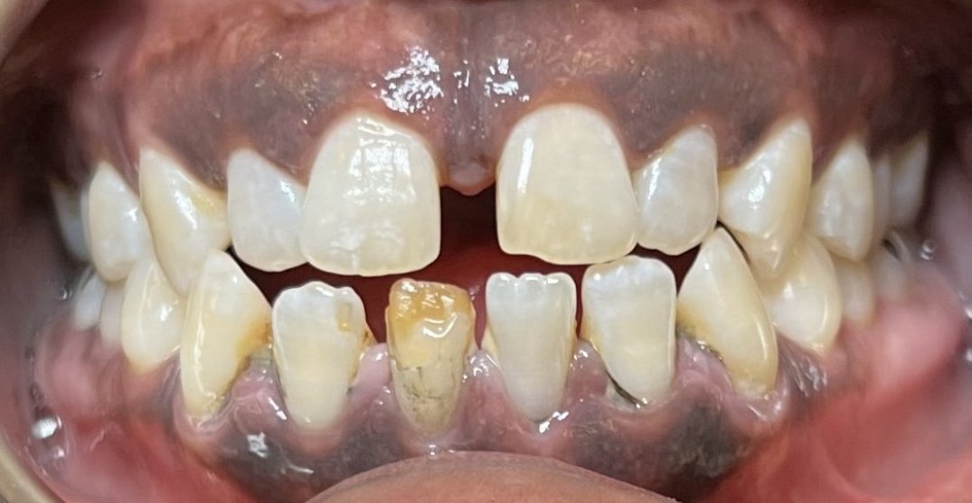
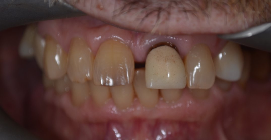
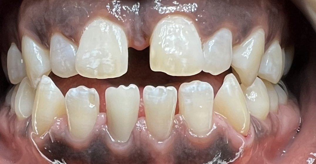
Smile Transformations




Answers to your questions
What are same-day crowns made of?
How long does the appointment take?
Are same-day crowns as strong as traditional ones?
Will the crown match my other teeth?
Is this procedure covered by insurance?
Many insurance plans cover crowns, including CEREC options. We’ll review your benefits and help you understand your out-of-pocket costs.
What if I grind my teeth?
We use zirconia crowns, a very strong and durable material designed to withstand everyday wear. However, if you’re experiencing grinding, clenching, or jaw discomfort, we may want to evaluate you for underlying issues such as sleep-disordered breathing, tooth positioning problems, or myofunctional disorders — all of which can contribute to these symptoms.
Fast, high-quality care with a personal touch
Whether it’s a chipped tooth, a broken crown, or a smile that just doesn’t feel quite right, we’re here with solutions that work for your schedule, your health, and your life.
Simple savings for lasting smiles
Our Patient Care Discount Plan is designed to make high-quality dental care affordable and accessible. For a low annual fee, members receive free preventive care and exclusive discounts on other treatments.
Start saving on your dental health today with benefits that begin immediately!
- No Yearly Maximums
- No Deductibles
- No Pre-Existing Condition Exclusions
Annual Plan Rates:
Adult (First Member on Plan)
$439
$339
Benefits Include:
- 2 Dental Exams
- 2 Preventative Cleanings
- Annual Oral Cancer Screening
- 2 Fluoride Treatments (Children Only)
- 1 Full-Mouth X-Ray & 1 Set of Bitewing X-Rays
- 1 iTero Diagnostic Dental Scan
- 20% Off Restorative, Periodontal, & Whitening Services
- 10% Off Invisalign
An $846 Value!
Our Columbia dentist’s office
1514 Hatcher Lane
Columbia, TN 38401
Get Directions
Tuesday-Wednesday 8:00AM-5:00PM
Thursday 8:00AM-2:00PM
We’ll be closed Nov 26–27 and Dec 22 – Jan 2 for the holidays. View Holiday Info
Join the Columbia Dental Group family today!
Ready to experience the difference proactive care can make? Call or click below to get started.






